Sümeyye TOYGA1, Evrim EGEDEN2, Özlem CALP2, Burcu KARABİNA3, Hazal ÖZTÜRK GÜRGEN4,
S. Seçkin ARUN3
1İstanbul Üniversitesi-Cerrahpaşa, Veteriner Fakültesi, Lisansüstü Eğitim Enstitüsü, Patoloji Anabilim Dalı, Büyükçekmece, 34500, İstanbul, Türkiye
2Ada Veteriner Polikliniği, Beşiktaş, 34330, İstanbul, Türkiye
3Vetlab Veteriner Tahlil Laboratuvarı, Kadıköy, 34710, İstanbul, Türkiye
4İstanbul Üniversitesi-Cerrahpaşa, Veteriner Fakültesi, Patoloji Anabilim Dalı, Büyükçekmece, 34500, İstanbul, Türkiye
E-Mail: toygasumeyye@gmail.com
GİRİŞ Köpeklerde yumuşak doku sarkoması, tüm deri kanserlerinin yaklaşık %15’ini temsil eder(1). Genellikle kötü huylu, komşu dokulara infiltre yumuşak veya sert kitle şeklinde ortaya çıkar. Bu nedenle olgularda konservatif cerrahi tedavisi yeterli olmamakla birlikte sıklıkla nüks olur. Metastaz hematojen ve lenfojen yolla olur(2). Elektrokemoterapi ise, elektriksel darbelerin etkinliğiyle hücre zarlarından kemoterapötik ilaç alımının artırılmasını sağlayan bir yöntemdir. Köpeklerde yumuşak doku sarkomlarına yaklaşımda kemoterapötik ilaçlarla kombine elektrokemoterapinin etkin bir sağaltım yöntemi oluşturduğu bildirilmektedir(3). Histopatolojik incelemede, deri altı subkutan dokuda yerleşim gösteren kitleye kötü diferensiye orta dereceli malign mezenkimal tümör tanısı koyuldu. Cerrahi müdahale ve kemoterapi uygulaması yapılmasına rağmen kısa sürede lokal nüks nedeniyle kliniğimize sevk edilen olgunun bleomisin ve sisplatin ile kombine adjuvan elektrokemoterapi tedavisini sunmayı amaçladık.
MATERYAL VE METOT Dokuz yaşında, erkek, Labrador Retriever ırkı bir köpek sağ kalça bölgesinde deri altı kitle şikâyeti ile operasyon yapılan ve akabinde histopatoloji raporuna yönelik vinkristin ile kemoterapi tedavisi uygulatılan hasta 1,5 ay sonra aynı bölgede kas dokuya invaziv 3 x 3 cm nüks şikâyeti ile kliniğimize sevk edildi. Yapılan röntgen çekimlerinde hastada uzak metastaz bulguları saptanmadı ve hastaya 2 hafta arayla bleomisin ve sisplatin adjuvan kombine elektrokemoterapi uygulandı.
BULGULAR
Makroskobik Bulgular Klinik muayenede 1,5 ay öncesinde operasyon yapılan bölgede kas dokuya invaziv 3 x 3 cm kitle tespit edildi (Figür 1). Hematolojik ve radyografik muayenelerde anormal bir bulgu tespit edilmedi. Hastanın önceki operasyonundan cerrahi sınır pozitif bölge 15 x 5 cm işaretlendi (Figür 2 ve 3).
Mikroskobik Bulgular
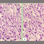
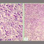
Histopatolojik incelemede, doku örneklerinde yuvarlaktan mekiğe değişen morfolojide, anizositozis ve anizokaryozis gösteren atipik mezenşimal hücrelerin proliferasyonu izlenmekte. Hücrelerde düzensiz hücre proliferasyonlarına rastlanmakta. Hücrelerde on adet büyük büyütme alanında 11 adet mitoz gözlenmekte (Figür 4, 5, 6 ve 7). Hücrelerde rhabdoid diferensiyasyon dikkati çekmekte. Histopatolojik olarak, deri altı subkutan dokuda yerleşim gösteren kötü diferensiye orta dereceli malign mezenkimal tümör tanısı konuldu (Vetlab Veteriner Tahlil Laboratuvarı).
TEDAVİ
Uzak metastaz bulguları tespit edilmeyen hastaya genel anestezi altında (propofol ile indüksiyon, izofluran idame inhalasyon anestezisi) 2 hafta arayla bleomisin (20 mg/m2 dozunda) bolus olarak intravenöz enjeksiyon yapıldı, ek olarak tümör yatağına sisplatin (0,5 mg/cm2 dozunda) enjekte edildi. Kemoterapi enjeksiyonlarından 5 dk sonra, elektro iletken bir jel yardımıyla, her biri 50 + 50 μsn süren 8 bifazik darbe dizisi kumpas elektrotları kullanılarak 1.300 V/cm`lik atışlar halinde verildi.
(Figür 8) Yapılan elektrokemoterapi uygulamasının ilk dozu sonrasında kitlede 2 cm küçülme gözlendi, ikinci doz uygulama sonrasında ise neoplazik kitlenin tamamen regrese olduğu tespit edildi. Tedavi bitiminin ardından sürekli takibi yapılan hastada 6 aydır herhangi bir nüks izlenmedi. Elektrokemoterapi uygulama alanlarında tüy çıkmadı
(Figür 9).
![]()
TARTIŞMA
Sonuç olarak, hastaya uygulanılan bleomisin ve sisplatin kombine adjuvan elektrokemoterapinin agresif seyirli yumuşak doku mezenkimal neoplazilerde tercih edilebilecek bir sağlatım yöntemi olduğu ortaya konuldu. Olgumuzun sunum tarihi de dahil olmak üzere hasta devam tedavisi görmeden hala remisyondadır.
Referanslar (1). Liptak, J.M. and Forrest, L.J. 2013. Soft tissue sarcomas. In Small animal clinical oncology, 4th ed. Eds., Withrow, S.J., Vail, D.M. and Page, R.L., Elsevier, St Louis, Missouri, USA, pp: 356–380. (2). Mayer, M.N. and LaRue, S.M. 2005. Soft tissue sarcomas in dogs. Can. Vet. J. 46, 1048– 1052. (3). Spugnini, E.P. and Vincenzi, B. 2019. Adjuvant electrochemotherapy with bleomycin and cisplatin combination for canine soft tissue sarcomas: A study of 30 cases. Open Veterinary Journal, Vol. 9(1): 88–93
